80 лет Великой Победе!
tinaomos.news
ОБЩЕСТВО
ЖКХ
БЕЗОПАСНОСТЬ
ВЛАСТЬ
СТРОИТЕЛЬСТВО
ТРАНСПОРТ
КУЛЬТУРА
ЭКОНОМИКА И БИЗНЕС
ОБЩЕСТВО
Движение по участку Бутырского Вала перекроют до 10 августа
20 марта 2024
Политолог рассказал, что пророссийские настроения в Крыму были всегда
20 марта 2024
Аналитик оценил риски отключения смартфонов от Google и Apple в России
20 марта 2024
Спасатели вывезли 3,1 тыс кубометров грунта с заваленного рудника в Амурской области
20 марта 2024
Праздничный обед для Навруза обойдется в сумму около 2 600 рублей – эксперты
20 марта 2024
Два человека погибли при обстреле Грайворонского округа под Белгородом со стороны ВСУ
20 марта 2024
Премьер Индии позвонил Путину и Зеленскому
20 марта 2024
Следователи изъяли бортовые самописцы с места жесткой посадки Ми-8 в Магаданской области
20 марта 2024
Неблагоприятные метеоусловия для рассеивания выбросов ожидаются в Москве 20 и 21 марта
20 марта 2024
Госкомиссия утвердила экипаж "Союза МС-25"
20 марта 2024
Лифт упал в многоквартирном доме в Люберцах
20 марта 2024
Москва онлайн покажет монтаж пешеходного моста, который свяжет остров Балчуг с "Музеоном"
20 марта 2024
Оборот предприятий пищевой промышленности в Москве вырос почти на 8% в прошлом году
20 марта 2024
Москвичей пригласили на день финансовой грамотности в пяти столичных вузах 21 марта
20 марта 2024
Выступление Кологривого на гала-концерте "Жванецкий" в Барвихе отменили после дебоша – СМИ
20 марта 2024
Две скважины пробурят на месте завала на руднике "Пионер" в Приамурье
20 марта 2024
Суд на Урале осудил девушек, заставивших 54-летнюю женщину рыть себе могилу в лесу
20 марта 2024
Выставку "Россия" на ВДНХ посетили 9 миллионов человек
20 марта 2024
Девятимиллионный гость посетил выставку-форум "Россия" на ВДНХ
20 марта 2024
В Москве определят лучших специалистов по охране труда
20 марта 2024
Никиту Кологривого поместили в спецприемник после дебоша в баре Новосибирска
20 марта 2024
Распространенность туберкулеза в столице снизилась до уровня редких заболеваний
20 марта 2024
Захарова назвала политизированным отказ ЦЕРН от сотрудничества с учеными из РФ
20 марта 2024
Депутат предложил вузам решить проблему с практикой студентов-медиков в зоне СВО
20 марта 2024
Путин заявил, что Россию надо сделать еще более крепкой, привлекательной, эффективной
20 марта 2024
Россию надо сделать еще более крепкой, привлекательной, эффективной – Путин
20 марта 2024
Врач объяснил, почему пост нельзя воспринимать как диету
20 марта 2024
СФ одобрил закон о механизме освобождения от наказания контрактников СВО
20 марта 2024
Российские ПВО сбили 13 снарядов РСЗО Vampire над Белгородской областью
20 марта 2024
Около 40% россиян тратят большую часть денег на еду
20 марта 2024
Городские власти определили инвестора для реорганизации участка на северо-западе Москвы
20 марта 2024
Юрист объяснила, как правильно давать деньги в долг
20 марта 2024
Эксперты рассказали, какое жилье купить выгоднее всего
20 марта 2024
Центр "Моспром" помогает столичным компаниям выходить на новые рынки сбыта
20 марта 2024
Задержан министр ЖКХ и энергетики Новосибирской области
20 марта 2024
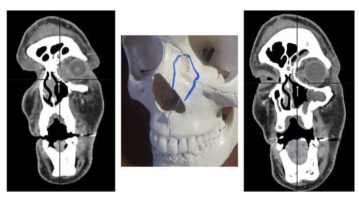
Московские врачи удалили злокачественную опухоль слезного мешка и сохранили глазное яблоко
20 марта 2024
Эксперт по китайской астрологии назвала число, которое принесет удачу в 2024 году
20 марта 2024
Москва увеличивает количество социальных выплат через сервис НСПК
20 марта 2024
Городской Wi-Fi подключили еще в двух студенческих общежитиях Москвы
20 марта 2024
507
508
509
510
511